TRATAMIENTO DE UNA MORDIDA CRUZADA ANTERIOR CON ORTODONCIA LINGUAL
- itsupport458
- 13 feb 2019
- 1 Min. de lectura
Actualizado: 24 nov 2021
Introducción: ¿Qué es la ortodoncia lingual?
La ortodoncia lingual es una de las opciones de ortodoncia estética que existen en la actualidad. Consiste en cementar los brackets (aparatos fijos) por la cara interna de los dientes, por lo que podría decirse que se trata de ortodoncia "invisible".
El paciente acude a la consulta para corregir su mordida preferiblemente con algún aparato que no se viera.
Diagnóstico

ESQUELÉTICO: presenta una hipoplasia maxilar con una clase III esquelética leve, que parece mayor por tener un componente funcional (por la posición de los dientes anteriores) y una ligera asimetría mandibular (con desviación a la derecha).
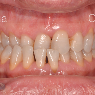
DENTARIO: presenta una mordida cruzada anterior-derecha, de causa dentaria y funcional. En relación céntrica la oclusión es de borde a borde, y la mandíbula no se centra.
ESTÉTICA: tiene los dientes anteriores desnivelados, con cambios de coloración y el borde incisal del 2.1 fracturado.

Plan de tratamiento
1.- TRATAMIENTO ORTODÓNCICO
Alinear y nivelar (en la zona de la mordida cruzada los dientes están extruidos, tanto arriba como abajo)
Corregir la mordida cruzada anterior-derecha:
Vestibulizar 1.2, 1.2, 1.1 y 2.1 y lingualizar 4.4, 4.3, 4.2, 4.1 y 3.1
Eliminar el avance mandibular funcional
Abrir espacio para la corona del 2.6 (desrotar el 2.7)

2.- TRATAMIENTO PROSTODÓNCICO
Implante + corona en 2.6
Reconstrucción borde incisal 2.1
Progreso de tratamiento






















Comentarios